SITE IN PROGRESS
Login
Search this album
Home
Online Bronchoscopy Atlas
Specific disease states (infec…
Lower respiratory tract
Infections
Bacterial and Mycobacterial In…
Mycobacterium tuberculosis
Endobronchial tuberculosis
Endobronchial tuberculosis
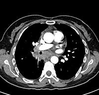
The endobronchial biopsies showed necrotizing granulomas and the cultures were positive for Mycobacterium tuberculosis. The imaging studies show the associated mediastinal and hilar lymphadenopathy.
Endobronchial tuberculosis
Endobronchial tuberculosis
Endobronchial tuberculosis
Lymphadenopathy, TB
Lymphadenopathy, TB
First
Previous
Photos 1 - 5 of 5
Next
Last
View slideshow
Popular tags
3 photos are tagged with
alveolar proteinosis
3 photos are tagged with
Amyloidosis
2 photos are tagged with
Aspergillosis
2 photos are tagged with
blue
2 photos are tagged with
Bronchial stump dehiscence
2 photos are tagged with
bronchus suis
2 photos are tagged with
Co-infection
2 photos are tagged with
diverticulum
2 photos are tagged with
gradient
2 photos are tagged with
In situ carcinoma
2 photos are tagged with
indoor
4 photos are tagged with
Inhalation injury
3 photos are tagged with
Kaposi's sarcoma
2 photos are tagged with
Melanoma
2 photos are tagged with
photo studio
2 photos are tagged with
Polypoid lesion
2 photos are tagged with
Quadrifurcation RUL
6 photos are tagged with
Quiz
4 photos are tagged with
Saber-sheath trachea
4 photos are tagged with
Sarcoidosis
2 photos are tagged with
SCLC
2 photos are tagged with
Stent
2 photos are tagged with
studio backdrop
2 photos are tagged with
studio workshop
4 photos are tagged with
TBNA
2 photos are tagged with
Tracheal bronchus
5 photos are tagged with
Tracheopathia osteochondroplastica
3 photos are tagged with
Tuberculosis
3 photos are tagged with
Varicella zoster virus
2 photos are tagged with
vector