SITE IN PROGRESS
Login
Search this album
Home
Online Bronchoscopy Atlas
Materials and techniques
Bronchoscopic techniques
Therapeutic interventions
Hemostasis
Laser coagulation
Laser coagulation
Previous
1 of 1
Next
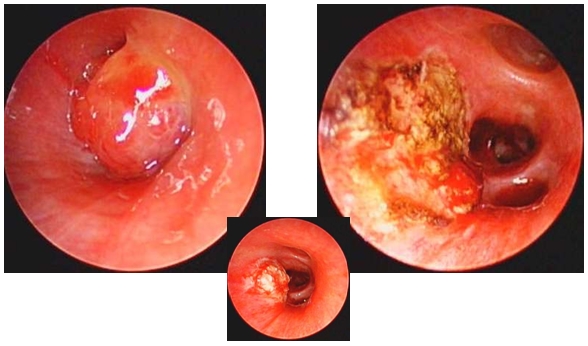
Laser coagulation
Carcinoid obstructing the truncus intermedius. The initial diathermy resection (inset) was followed by laser coagulation for hemostasis.
View full size
View slideshow
Popular tags
3 photos are tagged with
alveolar proteinosis
3 photos are tagged with
Amyloidosis
2 photos are tagged with
Aspergillosis
2 photos are tagged with
blue
2 photos are tagged with
Bronchial stump dehiscence
2 photos are tagged with
bronchus suis
2 photos are tagged with
Co-infection
2 photos are tagged with
diverticulum
2 photos are tagged with
gradient
2 photos are tagged with
In situ carcinoma
2 photos are tagged with
indoor
4 photos are tagged with
Inhalation injury
3 photos are tagged with
Kaposi's sarcoma
2 photos are tagged with
Melanoma
2 photos are tagged with
photo studio
2 photos are tagged with
Polypoid lesion
2 photos are tagged with
Quadrifurcation RUL
6 photos are tagged with
Quiz
4 photos are tagged with
Saber-sheath trachea
4 photos are tagged with
Sarcoidosis
2 photos are tagged with
SCLC
2 photos are tagged with
Stent
2 photos are tagged with
studio backdrop
2 photos are tagged with
studio workshop
4 photos are tagged with
TBNA
2 photos are tagged with
Tracheal bronchus
5 photos are tagged with
Tracheopathia osteochondroplastica
3 photos are tagged with
Tuberculosis
3 photos are tagged with
Varicella zoster virus
2 photos are tagged with
vector